
Teeth can become discolored for a variety of reasons. Teeth darken as a natural result of the aging process, but discoloration can be accelerated by drinking coffee, tea, soda, and red wine. Chewing or smoking tobacco also adversely impacts your teeth. However, with the cosmetic Teeth Whitening services Scottsdale, you can restore your teeth to a sparkling, polished sheen.
What is Zoom Teeth Whitening?

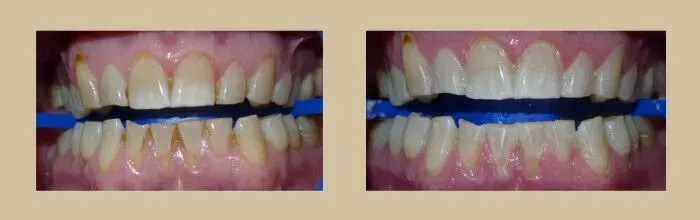
Actual Case Photos of Zoom! Before and After:
Zoom works by bleaching the enamel and dentin in your teeth. During the procedure, your teeth are coated with a hydrogen peroxide whitening gel, which is then activated by the Zoom Advanced Power Chairside Lamp. The hydrogen peroxide breaks down, allowing oxygen to soak into the enamel and dentin, bleaching the stained surface. This process changes the color of the tooth while leaving its structure unaffected.
How Will I Prepare for Zoom Teeth Whitening?

Before your dentist recommends teeth whitening, they will first examine your teeth and gums to ensure their health, and also discuss your oral hygiene and lifestyle habits. If you plan to continue the habits that led to tooth discoloration (heavy coffee drinking, chewing tobacco, etc.), you may not be a good candidate for teeth whitening. If you are planning to undergo another cosmetic dental procedure, such as composite bonding or veneers, you may be required to get your teeth whitened to ensure a match between your restoration and natural tooth color. Existing dental work (crowns, veneers) generally does not respond to tooth whitening procedures. We also recommend a regular tooth cleaning before your Zoom teeth whitening session.
What is the Zoom Teeth Whitening Scottsdale Procedure Like?

The procedure takes 45 minutes to an hour. We begin by covering your lips and gums so they are not exposed to the whitening agent. The agent is then applied, and remains on your teeth for fifteen minutes while the Zoom light helps break it down. You will be free during this time to relax, read, listen to music, or watch TV. You will undergo three of these fifteen-minute sessions for a total time of 45 minutes.
How Do I Take Care of my Teeth After Whitening?
Your dentist will give you a touch-up kit for home use and instruct you on how and when to use it. You will also be recommended to avoid, or moderate the consumption of, certain foods and beverages so your discoloration does not return. Maintain a regular brushing and flossing schedule, return for regular teeth cleanings, and use toothpastes that contain a whitening agent.
Schedule a consultation today, and learn how Teeth Whitening Dentist can give you a bright, sparkling smile. Dr. Kaocharoen and Precious Smiles ensures affordable dental care for senior patients as well as anyone looking to enjoy their smile more.
Dr. Kaocharoen
Contact Us
Testimonials
Faqs
Welcome to your affordable dental care provider in Arizona. Our practice is committed to giving you the best possible smile and providing quality care in a relaxed, comfortable environment.
It is widely assumed that you should see a dentist twice a year. This is a good rule of thumb to remember when in doubt. However, if you want to know how frequently you should have a dental checkup, you should consider your specific mouth, hygiene, habits, and overall health.
Many people wait till they experience toothaches or awkward color changes before visiting a dentist. But this is not advisable. A problem that started mildly would have gotten worse before it got the notice of the dentist. And it may become more problematic. Visiting a Scottsdale Dentist regularly for a check-up means protecting yourself from a bigger problem. Just as the proverb says, a stitch in time saves nine. Again, you may have a dental problem and not be aware. You can also visit a dentist to get teeth whitening done; it will boost your confidence and give you a precious smile.
As part of good oral hygiene, you should change your toothbrush regularly. The dentist advised that you should change your toothbrush every three months. Plaques accumulate on your toothbrush, so you should change them regularly. Patients treating tooth decay, gum disease, and other dental issues should change their toothbrushes more often. Toothbrushes should be washed, cleaned, and kept in a cool place. Electric toothbrushes can be used for more than 3 months before replacing them. We await your visit to Scottsdale Dentistry. Kindly reach out to us through the details given on our page. We want to see your precious smile.